Osteochondrozė yra pasaulinio lygio liga, nes ja serga žmonės visame pasaulyje (40–90 proc.). Ši patologija daugeliu atvejų pasireiškia brandaus amžiaus žmonėms, po 30 metų. Nugaros skausmas kasdieniame gyvenime dažnai priskiriamas šiai ligai. Mūsų straipsnyje apžvelgsime išsamius simptomus, išsiaiškinsime osteochondrozės priežastis ir gydymo metodus. Medicinoje apie šią ligą kalbama kaip apie degeneracinio-distrofinio pobūdžio stuburo audinio pažeidimą. Osteochondrozę lydi tarpslankstelinių diskų, sąnarinių paviršių, stuburo kūnų ir raiščių pažeidimai. Paprastai, sergant osteochondroze, pirmiausia pažeidžiami kaulai ir raiščiai.
Yra keli osteochondrozės vystymosi etapai. Pažvelkime į juos išsamiau:
- Osteochondrozė pradiniame etape atrodo kaip pulpos branduolio dehidratacija, dėl kurios sumažėja slankstelio padėtis. Kad skaitytojui būtų aiškiau, paaiškinkime, kas yra pulpos branduolys. Šis medicininis terminas reiškia tarpslankstelinio disko vidų, kurią sudaro pusiau skysti (jungiamojo audinio pluoštai) ir želatinos (chondrino) komponentai. Šiuo laikotarpiu pacientas patiria pluoštinio žiedo įtrūkimus.
- Kitas etapas yra glaudžiai susijęs su ankstesniuoju: dėl slankstelių iškritimo raiščiai ir raumenys nusileidžia. Ši būklė sukelia motorinį slankstelių disbalansą. Šiam laikotarpiui būdinga spondilolistezė arba, paprastai tariant, slankstelių poslinkis.
- Trečiajam osteochondrozės vystymosi etapui paprastam žmogui būdingos ryškesnės apraiškos - tarpslankstelinių diskų išsikišimai (jų turinio išsikišimas) ir artrozė.
- Paskutinis osteochondrozės etapas yra susijęs su osteofitais. Mūsų kūnas, pastebėjęs slankstelių „laisvumą“, bando grąžinti stuburą į pradines funkcijas: atraminę ir apsauginę. Norint tai pasiekti, ant slankstelių paviršių atsiranda kaulų išaugos, kurios vadinamos osteofitais. Per tą patį laikotarpį auga pluoštinis audinys. Šių procesų rezultatas yra motorinio stuburo segmento įstrigimas į apvalkalą.
Osteochondrozė yra daugelio rūšių liga. Yra gimdos kaklelio, krūtinės ląstos ir juosmens-kryžmens osteochondrozė, taip pat dažna osteochondrozės rūšis. Medicinos praktikoje vis dažniau pasitaiko kelio sąnario osteochondrozė.
Osteochondrozės vystymosi priežastys
Šios ligos vystymosi priežastys yra daug ir ne visada lengva nustatyti. Prie osteochondrozės išsivystymo žmones priartina sėslus gyvenimo būdas, kuris šiandien yra labai įprastas, antsvoris, blogi įpročiai (ypač rūkymas), prasta mityba, plokščiapėdystė, sunkus fizinis krūvis ir prasta laikysena. Stuburo sužalojimas gali prisidėti prie osteochondrozės atsiradimo, taip pat gali išsivystyti dėl genetinės polinkio. Metaboliniai sutrikimai, infekcijos, įgimtos anomalijos ir su amžiumi susiję pokyčiai yra dažnos šios ligos vystymosi priežastys. Įdomus faktas yra ryšys tarp osteochondrozės vystymosi ir vibracijų. Tai tiesiogiai liečia žemės ūkio mašinų vairuotojus arba mašinų operatorius.
Šiandieninė osteochondrozė neturi rimtų amžiaus apribojimų – ja serga ir vyresni, ir jauni žmonės. Yra nuomonė, kad osteochondrozės vystymasis yra susijęs su druskų nuosėdomis, tačiau tai nėra visiškai teisinga. Druskos sankaupos dažniau yra osteochondrozės pasekmė. Osteochondrozės skausmo priežastis dažnai yra nervų šaknelių dirginimas, medicinoje vadinamas dirginimu. Kraujagyslių sutrikimai osteochondrozės fone išsivysto dėl sutrikusios vazomotorinės sistemos inervacijos.
Osteochondrozės simptomai

Ryškiausias osteochondrozės simptomas yra skausmas ir diskomfortas. Skausmas ne visada yra pastovus; ji gali periodiškai pablogėti, o paskui nuslūgti. Šiuos simptomus dažnai lydi galūnių tirpimas. Daugeliu atvejų skausmas plinta į kairę kūno pusę. Pastebėję savyje šios ligos simptomus, paskubėkite kreiptis į specialistą – terapeutą ar neurologą. Ankstyvas osteochondrozės nustatymas pagerins jos gydymo veiksmingumą.
Sergant osteochondroze, pacientai dažnai skundžiasi padidėjusiu nuovargiu. Įdomus bruožas, iš pirmo žvilgsnio neaišku, kaip tai susiję su šia liga, yra galūnių šaltkrėtis. Galvos skausmas ir galvos svaigimas dažnai lydi osteochondrozę. Būdingas ligos požymis taip pat yra didelis akių nuovargis ir net susilpnėjęs regėjimas. Sergant juosmens-kryžmens srities osteochondroze, pacientams gali kilti problemų su reprodukcine sistema. Moterims svarbu žinoti, kad osteochondrozė gali trukdyti normaliai nėštumo eigai ir pačiai pastojimui. Kiekviena osteochondrozės rūšis turi savo būdingų požymių. Taigi, esant gimdos kaklelio ligos tipui, pastebimi galvos skausmai (ypač judant galvą), galvos svaigimas sukant galvą, pažeistos vietos jautrumas, kaklo, pečių ašmenų, rankų ir krūtinės skausmas. Įdomus ir ne itin malonus gimdos kaklelio osteochondrozės simptomas – sutrikęs liežuvio paslankumas. Krūtinės ląstos osteochondrozė yra reta ir jai būdingas skausmas krūtinėje, ypač kvėpuojant. Skausmas gali plisti į skrandį, širdį ir kepenis. Šiam tipui taip pat būdingas tirpimas, tik dabar krūtinės srityje. Sergant lumbosakraline patologija, pacientai dažnai skundžiasi skausmu, sklindančiu į kojas. Kitas šio tipo osteochondrozės simptomas yra apatinių galūnių parezė.
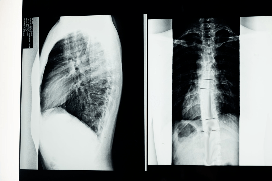
Osteochondrozės diagnostikos metodai

Prieš pradėdamas diagnostinius tyrimus, neurologas surenka paciento ligos istoriją ir atidžiai išnagrinėja jo skundus. Osteochondrozė turi bendrų simptomų su kai kuriomis kitomis ligomis, todėl svarbu mokėti atskirti patologijas. Osteochondrozės diagnozę patvirtinti padės rentgeno tyrimai: rentgenografija, mielografija ir kompiuterinė tomografija.
Tyrimo rentgeno nuotrauka leidžia gauti stuburo ar jo dalies rentgeno vaizdą. Tokiu būdu gydytojas gali nustatyti ligos paveiktą vietą. Aiškumo dėlei paaiškinsime, kaip osteochondrozę galima nustatyti rentgeno spinduliais: vaizde bus matomas tarpslankstelinio disko susiaurėjimas, kaulų išaugos (osteofitai) ar pakitusi stuburo segmento forma.
Mielografinis tyrimas yra sudėtingesnis nei rentgeno tyrimas. Taip yra dėl tam tikrų manipuliacijų, kurias gydytojai turi atlikti mielografijos metu: kontrastinis skystis suleidžiamas į nugaros smegenų kanalą. Tai gali kelti pavojų pacientui: pirma, gali išsivystyti alerginė reakcija į suleistą medžiagą, antra, nepavykus punkcijai, gali būti pažeistos nugaros smegenys. Nepaisant to, tinkamai atlikta mielografija leidžia specialistams apžiūrėti vidinę nugaros smegenų kanalo struktūrą. Šis metodas ypač svarbus diagnozuojant stuburo išvaržą.
KT (kompiuterinė tomografija) ir MRT (magnetinio rezonanso tomografija) yra veiksmingiausi ir moderniausi osteochondrozės ir panašių simptomų stuburo ligų diferencijavimo metodai.
Osteochondrozės gydymas

Osteochondrozės gydymas atliekamas visapusiškai. Ši terapija skirta pašalinti pagrindinį sindromą ir ligos priežastis. Kovai su osteochondroze gydytojai taiko akupunktūrą, vakuuminį gydymą, manualinę terapiją, gydymą lazeriu, trauką, elektrinę stimuliaciją, farmakologinę ir magnetinę punkciją. Pagrindinis uždavinys norint gauti veiksmingą gydymą yra laiku nustatyti ligą. Žmonės, susidūrę su šia rimta liga, nerimauja dėl pagrindinio klausimo: ar įmanoma išgydyti osteochondrozę? Atsakymas į šį klausimą priklausys nuo osteochondrozės formos ir laipsnio. Jei ligos gydymas pradedamas pirmajame etape, galite amžinai atsikratyti osteochondrozės.
Osteochondrozei gydyti gydytojai naudoja medicininius ir nemedikamentinius metodus. Tarp vaistų, vartojamų osteochondrozei gydyti, verta pabrėžti:
- Nesteroidiniai vaistai nuo uždegimo. Jie padeda pašalinti skausmą ir uždegimą. Nesteroidiniai vaistai nuo uždegimo gali būti skirti vietiniam vartojimui tepalų ir gelių pavidalu.
- Novokaino blokados. Jie veiksmingai susidoroja su skausmu.
- Steroidiniai vaistai. Jie skiriami epidurinių ir intramuskulinių injekcijų pavidalu.
- Raumenų relaksantai. Tokios priemonės padeda pacientui kovoti su raumenų spazmais.
- Vitaminai B1, B6 ir B12. Jie padės pagerinti medžiagų apykaitos procesus, būtinus stuburo sveikatai.
Nemedikamentinio gydymo pavyzdžiai yra įvairūs, įdomūs ir malonūs. Tai padės jums susidoroti su osteochondrozės apraiškomis be vaistų:
- mankštos terapija;
- fizioterapija;
- masažas;
- manualinė terapija;
- trauka;
- refleksologija.
Pažvelkime į šiuos gydymo metodus išsamiau. Kineziterapija sergant osteochondroze – tai fizinių pratimų pasirinkimas, skirtas pašalinti nervų šaknelių suspaudimą, koreguoti laikyseną ir sustiprinti raumenų korsetą. Pratimų terapija padeda išvengti osteochondrozės komplikacijų. Toks fizinis aktyvumas padeda sumažinti apkrovą tiesiogiai stuburui, taip pat pagerina jo aprūpinimą krauju.
Pacientams, sergantiems osteochondroze, skiriamos fizioterapinės procedūros skausmui ir uždegimui pašalinti. Šioje srityje efektyviai veikia elektroforezė, ultragarsas, gydymas lazeriu ir magnetu. Masažas skatina kraujotaką ir mažina raumenų įtampą. Skausmą padeda pašalinti ne tik gydomasis masažas, bet ir manualinė terapija. Be to, padeda atkurti slankstelių judrumą ir taisyti laikyseną.

Traukos... kas tai? Pagal tai, iš pirmo žvilgsnio, nesuprantamas žodis slepia paprastą reikšmę - „pratęsimas“. Noras patempti stuburą tikriausiai pažįstamas visiems, sergantiems osteochondroze. Šiuolaikinėje medicinoje yra specialių prietaisų, kurie leidžia tai padaryti. Ši procedūra leidžia atsikratyti skausmo ir padidinti tarpslankstelinį tarpą.
Kitas įdomus osteochondrozės nemedikamentinio gydymo metodas – refleksologija. Jis glaudžiai susijęs su akupunktūra, nes daro įtaką refleksogeniniams žmogaus kūno taškams.
Geriausias vaistas nuo osteochondrozės
Ideali priemonė nuo osteochondrozės turėtų pašalinti skausmą ir uždegimą, pagerinti kraujotaką, atkurti kremzlių ir sąnarių judrumą, taip pat sumažinti paciento depresiją. Su visomis šiomis užduotimis susidoroja gerai parinktų vaistų kompleksas. Šioje straipsnio dalyje mes išsamiai išanalizuosime visus šiuos vaistus.
Nesteroidiniai vaistai nuo uždegimo arba NVNU nuo osteochondrozės

NVNU padeda osteochondroze sergančiam pacientui įveikti skausmą, uždegimą ir patinimą. Šie vaistai gali būti gaminami tiek vietiniam išoriniam naudojimui tepalų ir gelių pavidalu, tiek vidiniam vartojimui tablečių ir injekcinių tirpalų pavidalu. Nesteroidiniai vaistai nuo uždegimo gali būti skirtingų grupių:
- Vaistų grupė, kurios veiklioji medžiaga yra diklofenakas. Šie vaistai sustiprina kitų skausmą malšinančių vaistų analgezinį poveikį ir mažina uždegimą. Šios grupės trūkumas yra tai, kad jų negalima vartoti nėštumo ir žindymo laikotarpiu.
- Skirtingai nuo ankstesnių vaistų, ibuprofeno grupės vaistus leidžiama vartoti nėščioms ir žindančioms moterims prižiūrint gydytojui. Medžiaga yra gerai toleruojama, todėl gali būti skiriama vaikams.
- Ketoprofeno grupės vaistai turi pagreitintą analgezinį poveikį.
- Naujos kartos NVNU apima Nimesulido grupę. Jie turi minimalų šalutinį poveikį.
Vazodilatatoriai osteochondrozei gydyti
Osteochondrozės kraujagyslių susiaurėjimas pastebimas dėl skausmo ir raumenų įtempimo. Dėl to atsiranda pažeistų audinių deguonies badas, dėl to sutrinka vidaus organų funkcionalumas. Norėdami išvengti tokių komplikacijų, gydytojai savo pacientams skiria kraujagysles plečiančių vaistų.
Raumenų relaksantai osteochondrozei
Raumenų relaksantai atpalaiduoja raumenis ir turi raminamąjį poveikį. Tai teigiamai veikia kraujotaką ir padeda nuskausminti nesteroidinius vaistus nuo uždegimo. Raumenų relaksantai taip pat padeda pagreitinti pažeistų audinių atstatymo procesą.
Chondroprotektoriai osteochondrozei
Chondroprotektoriai ir vitaminų kompleksai padeda atkurti kremzlės audinį. Chondroprotektoriai suprantami kaip agentai, atkuriantys ne tik kremzlės audinį, bet ir sąnario judrumą. Vertingi šios grupės vaistai yra chondroitino ir gliukozamino pagrindu pagaminti vaistai.
Raminamieji vaistai nuo osteochondrozės
Atrodytų, kam gydant osteochondrozę gerti raminamuosius? Atsakymas nėra toks sudėtingas, kaip galima pamanyti: ilgą laiką žmogų persekiojantis skausmo sindromas gali lengvai išprovokuoti depresiją ir dažną stresą. Daugeliu atvejų pakanka išgerti valerijono ar motininės žolės tinktūros.
Gydantis gydytojas turi pasirinkti vaistus, skirtus tokiai rimtai ligai kaip osteochondrozė gydyti.
Korsetas nuo osteochondrozės

Sudėtingame bet kokios rūšies osteochondrozės gydymo metu gydytojai mano, kad korsetas yra naudingas. Korsetai specialiai gaminami atskirai gimdos kaklelio, krūtinės ir juosmens sritims arba pilnai stuburo fiksacijai. Sergant krūtinės ląstos osteochondroze, naudojami korsetai iš specialios tamprios medžiagos su metaliniais arba plastikiniais įtvarais viduje. Juosmens osteochondrozei gydyti naudojami korsetai su standžiu kryžiumi ir išilginiais įdėklais iš metalo arba plastiko. Gamybai naudojama tvarsčių juosta arba neoprenas. Kaklo korsetas vadinamas apykakle ir yra standus. Visą stuburą fiksuojantys korsetai dar vadinami laikysenos korektoriais. Korsetai būna minkšti, vidutiniai ir kieti. Korseto standumo laipsnį individualiai nustato gydantis gydytojas.
Osteochondrozės korseto nešiojimas padės sustiprinti nugaros raumenis, sumažinti skausmą, pagerinti laikyseną, užkirsti kelią komplikacijų vystymuisi ir pagreitinti sveikimą. Nešiojant korsetą yra tam tikrų taisyklių. Pacientai, sergantys osteochondroze, turėtų pasitarti su specialistu dėl korseto pasirinkimo ir poreikio naudoti. Pirmą kartą korsetas užsidedamas ne ilgiau kaip 15 minučių, o vėliau jį galima nešioti ne ilgiau kaip 6 valandas per dieną.
Osteochondrozės profilaktika
Prevencija yra labai svarbi stuburo sveikatai palaikyti ir osteochondrozės paūmėjimų prevencijai. Profilaktikai būtina vadovauti sveikam ir aktyviam gyvenimo būdui, daryti pratimus ir kovoti su antsvoriu, jei toks yra. Stresas ir nervinis šokas taip pat gali sukelti osteochondrozės vystymąsi. Todėl svarbu stebėti savo psichikos stabilumą ir vengti stresinių situacijų. Kartą patirtos traumos ilgainiui gali atsiliepti neigiamai, todėl reikia jų vengti nuo vaikystės. Tinkama mityba sergant osteochondroze ir jos prevencija yra ypač svarbi.
Dieta osteochondrozei

Kai kurie ekspertai kalba apie svarbų mitybos vaidmenį stuburo sveikatai. Žmogaus vartojami produktai turi aprūpinti jį medžiagomis, kurios sintetina kremzlės audinį. Mes kalbame apie mukopolisacharidus, esančius želė, želė mėsoje ir želatinoje. Svarbu stebėti pakankamą skysčių suvartojimą, nes jo trūkumas lemia tarpslankstelinių diskų dehidrataciją. Baltymai naudingi valgant normalią mitybą, o ypač sergant osteochondroze. Šių medžiagų galima gauti iš mėsos, riešutų, žuvies, pupelių ir baklažanų.
Vitaminai ir mineralai stiprina kaulinį audinį. Taigi, kalcio galime gauti iš kietųjų sūrių, pieno produktų, pupelių ir salotų. Svarbu atsiminti, kad vitaminas D, kurio yra kiaušiniuose, svieste ir jūros žuvyse, yra būtinas kalcio pasisavinimui. Magnis padeda išlaikyti kalcį kauliniame audinyje ir neleidžia jam pasišalinti iš organizmo. Magnio galima gauti valgant agurkus, riešutus ir saulėgrąžas. Daugelis žmonių žino apie fosforo kiekį žuvyje, tačiau tai, kad šio elemento taip pat yra žirnių, sojų pupelių, sėlenų ir baltųjų kopūstų sudėtyje, yra mažiau žinomas faktas. Mangano šaltiniai yra vištienos mėsa, tryniai, varškė, bulvių odelės ir bananai.
Tarp vitaminų verta pabrėžti ypatingą A, B ir C grupių vaidmenį. Vitamino A šaltiniai yra žali kiaušiniai, kepenėlės, morkos ir melionai. Kiauliena, jautiena, jūros gėrybės, grybai ir grūdai turi B grupės vitaminų. Askorbo rūgšties, kuri mums pažįstama nuo vaikystės, yra šviežiuose vaisiuose ir daržovėse.
Taigi, jei pažiūrėtume į dietoje esančius produktus nuo osteochondrozės ar jos profilaktikos, pamatytume, kad iš šio sąrašo galime sudaryti labai skanių ir įvairių patiekalų meniu.
Dabar pažvelkime į draudžiamus produktus. Į juodąjį osteochondrozės produktų sąrašą įtraukta: druska, marinuoti agurkai ir marinatai, aštrūs prieskoniai, perdirbtas maistas, cukrus (galima pakeisti medumi), soda ir kava.
Osteochondrozės komplikacijos

Tinkamai negydoma osteochondrozė gali sukelti paciento negalią. Šios patologijos komplikacijos yra šios:
- Nugaros smegenų stenozė dėl jos kanalo susiaurėjimo. Tai sukelia galūnių tirpimą ir vaikščiojimo sutrikimus.
- Suspausti stuburo nervai.
- Disko išsikišimas ir vėliau tarpslankstelinė išvarža.
- Radikulitas.
- Lumbago ir išialgija.
- Vegetatyvinė-kraujagyslinė distonija.
- Schmorlio išvarža.
- Slankstelių poslinkis.
- Migrena ir galvos skausmai.
Sergant kaklo stuburo osteochondroze, dažnai pastebimas kraujospūdžio padidėjimas.
Jei turite nusiskundimų dėl stuburo sveikatos, skubėkite kreiptis pagalbos į gydytojus, nes laiku pradėtas gydymas yra sėkmingo pasveikimo raktas.


















